Odontoiatria Conservativa a Terni
Riconquista il tuo sorriso!
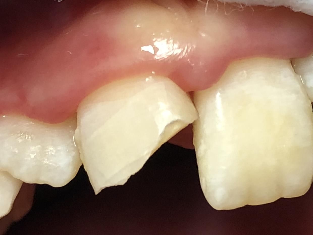
Presso lo Studio Dentistico Cerquaglia a Terni, l'odontoiatria conservativa è una specializzazione dedicata alla prevenzione, diagnosi e trattamento delle carie e delle lesioni dei denti. Il nostro obiettivo è preservare la struttura dentale naturale, evitando interventi invasivi e garantendo la massima durata dei restauri dentali.
Utilizziamo materiali compositi di alta qualità per ricostruire e riparare i denti danneggiati, ottenendo risultati estetici e funzionali eccellenti.
I vantaggi dell'odontoiatria conservativa includono il ripristino della funzionalità masticatoria, la protezione della struttura dentale residua e un aspetto naturale del sorriso. Il Dr. Cerquaglia, con la sua vasta esperienza e attenzione ai dettagli, esegue ogni trattamento con precisione e cura, utilizzando tecniche minimamente invasive e rispettando le più aggiornate normative igienico-sanitarie.












